Fiksna proteza

KADA SE PREPORUČUJE FIKSNA PROTEZA
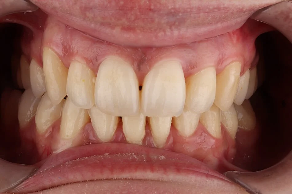
- Nepravilan položaj zuba pravi problem, jer je teško održavati oralnu higijenu, a to kasnije uzrokuje upaljene i crvene desni, gingivitis i kasnije parodontopatiju.
- Položaj zuba direktno utiče i na mnogobrojne probleme sa karijesima, jer na tim teško dostupnim mestima se zadržava hrana.
- Često se javljaju i bolovi u zglobu upravo zbog nepravilnih kontakata zuba ili lošeg međuviličnog odnosa.
- Tamo gde su jači kontakti zuba ili tamo gde postoje kontakti samo na nekim zubima ti zubi nemaju dugoročnu prognozu, jer se nepravilno prenose sile na potporni aparat zuba, koji kasnije propada i zubi se rasklaćuju, jer su u traumi.
- Kod lošeg zagrižaja vrlo često se javlja i poremećaj žvakanja.
Trajno rešenje svih problema sa krivim zubima, jeste fiksna proteza.

ugrađenih fiksnih proteza
ocena na Google
ZAŠTO TREBA NOSITI FIKSNU PROTEZU I KOJI SU TO BENEFITI?
- Savršen osmeh bez brušenja vaših zuba, a to znači veliku uštedu i produženje zdravlja vaših zuba.
- Mirne desni, bez upale odmah vidljive, a to znači da vam neće više krvariti desni i da nećete više koristiti skupe preparate za smirivanje istih.
- Nema starosne granice za postavljanje fiksne proteze, a to znači ako imate i 40+ možete rešiti nepravilan položaj zuba i imati savršen osmeh.
- Za vrlo kratko vreme promena se čak vidi i u obliku lica tako da će vaše lice biti simetrično sve više.
- Prestanak bolova u zglobu znači smanjenje ili totalni prestanak korišćenja lekova protiv bolova.


KADA SE JOŠ KORISTI FIKSNA PROTEZA?
Fiksna proteza se jako često koristi i u pretprotetskoj pripremi, kada nakon terapije fiksnom protezom stavljamo bezmetalne krunice. Takođe u pripremi prostora za ugradnju implanta, ali i onim slučajevima gde dovođenjem zuba u idealan položaj izbegavamo ugradnju implanta na mestima gde je pre fiksne proteze postojao prostor.
KAKO TEČE PROCES PLANIRANJA I STAVLJANJA FIKSNE PROTEZE?

Prvo i osnovno jeste klinički pregled gde je obavezno doneti ortopan snimak i još jedan snimak koji se zove profilni telerentgen.

Tada se i uzimaju otisci gornje i donje vilice. Nakon detaljne analize modela i ovih snimaka odlučujemo se da li će biti nekih intervencija pre postavljanja fiksne proteze, kao što su popravke zuba, vađenje zuba ako je potrebno (najčešće umnjaka nekada i četvorki), ili možda neka pretpriprema mobilnom protezom ili drugim mobilnim aparatima dok se ne stvore uslovi za postavljanje fiksne proteze.

Nakon odluke doktora ortodonta da dodatne intervencije nisu potrebne i da može da se odmah postavi fiksna, dogovaramo termin kada se postavlja fiksna proteza, što je u praksi obično za 5 dana.

Dolazite u zakazani termin i ceo proces stavljanja fiksne proteze traje oko sat vremena. Bravice koje se lepe na zub mogu biti metalne ili keramičke. Od materijala dakle zavisi da li će proteza biti metalna ili takozvana estetska.
Preporuka nije neophodna, ko jednom ovde dodje, može biti samo zadovoljan i stiče poverenje
Poseban pozdrav za moju Ruźicu i Aleks❤️
Быстрая запись по вайберу, очень вежливая администратор. Приемлемые цены и супербонус Ивана Лукич, которая говорит по русски как носитель. Сделали чистку двум взрослым и поставили фиссуры ребёнку, вернёмся ещё на приём ортодонта. Рекомендую от души
S obzirom da je danas 8. 3. 2025., želim kolektivu Up Denta srećan dan žena, nastavite da kidate!🌷Za kraj ovog romana, veliki pozdrav i poljubac za moju doktorku Ružicu i Aleksandru- sestru po satiću! :****
Anastasija Milićević
Doktorka Tanja je pažljivo saslušala kako probleme, tako i želje koje imam, a onda sam dobio jasan plan šta će se raditi. Kada smo krenuli u rad, dato mi je objašnjenje za svaki korak kome se pristupa.
Smatram da doktorka Tanja ima veliku stručnost i preciznost.
Rezultat su nove krunice i desni koje su se vrlo brzo potpuno oporavile.
Prezadovoljan sam!
Veliko hvala celom Up Dent timu! Naravno, hvala i tehnici na odličnoj izradi krunica!
Predani, predusretljivi i uvek nasmejani. Vrhunska strucnost
Hvala Tanji i Up Dent timu❤️🍀
Sjajna i veoma profesionalna atmosfera koja cini da trema nestane.
Dr. Tanja and her team are highly skilled and knowledgeable. They performed a lot of work on my teeth, and I’m returning to the Netherlands with a healthy, beautiful smile.
Dr. Tanja did a fantastic job on my complicated root canals, and the crowns she placed are perfect—I can’t even tell the difference between them and my natural teeth.
Dr.Ružica also did a great job with my teeth whitening. The mild discomfort was well worth the incredible results.
The entire team made me feel comfortable and at ease, which is no small feat as I’m not the most relaxed person when it comes to dental visits. Despite this being the most extensive dental work I’ve ever had, I felt calm and well taken care of throughout.
In short, the UpDent team did an excellent job. I highly recommend them for any dental needs.
ŠTA JE TO MOBILNA PROTEZA?
Za razliku od fiksne proteze koja je aktivna 24h i ne skida se, mobilne proteze kako sama reč kaže se skidaju. Stavljaju se uglavnom kod mlađih pacijenata, i to sa mešovitom denticijom, kada su prisutni i mlečni i stalni zubi, u periodu aktivnog rasta deteta.
U tom periodu je najlakše uticati na rast i razvoj vilica, jer proteza stimuliše rast vilica u pravom smeru.
Pošto postoje različite boje proteza kao i dizajn, deca su jako motivisana da ih nose iako se roditeljima tako ne čini. Zato im ni ne predstavlja problem da im objasnimo da iako se skidaju, u toku dana treba da se što duže nose. Naša preporuka je da bismo dobili željene rezultate, da se proteza nosi celu noć i bar 5h dnevno.
Kada se mobilne proteze koriste u pretpripremi, one dovedu zube u povoljniji položaj i značajno skrate vreme nošenja fiksne proteze.

ŽELITE DA SE VAŠA PROTEZA NE VIDI (ESTETSKA FIKSNA PROTEZA)?
Zato postoji Invisalign (Estetska fiksna proteza), jedan od najmodernijih sistema za ispravljenje zuba. To su ustvari providne folije za ispravljenje zuba. Kako se stomatologija sve više digitalizovala tako je i pre 20 godina u SAD-u počela aktivna primena ovih folija za ispravljanje zuba.
Nakon dijagnoze i uzimanja otisaka modeli se skeniraju i kompjuterski se izračuna kako i za koliko će se pomeriti zubi i prema tome se prave folije koje se menjaju kako se zubi pomeraju.
Pacijent dobija set folija (prosečno 7-10 po vilici) koje menja sam kod kuće jer i sam primećuje kada su se zubi pomerili. Najveća prednost ovih folija je što je omogućena mnogo bolja oralna higijena nego sa fiksnom protezom, ne primećuju se i smanjeni su dolasci kod zubara.
Iako se ne vide, nisu svemoguće, predstavljaju alternativu fiksnoj protezi, jer se sa njom mogu ispraviti manji deformiteti i nepravilnosti u položaju prednjih zuba (naročito teskoba).
Folije se nose cele noći i što više vremena u toku dana.

NAŠ TIM STOMATOLOGA
FIKSNA PROTEZA CENA
Cena metalne fiksne proteze po vilici je 800 evra.
Cena estetske (bele) fiksne proteze po vilici je 1100 evra.
* Cena prvog pregleda specijaliste ortodonta je 2000 rsd (cena pregleda je uključena u cenu terapije ukoliko se odlučite za istu).
* U cenu proteze su uključene sve kontrole od početka do kraja nošenja fiksne proteze kao i zamene gumica i žica. Cena folije koja se nosi nakon završene terapije fiksnom protezom je 100 evra po vilici.

PS. Fiksna proteza je trajno rešenje za vaš savršen osmeh, a takođe čuva i produžava život vaših zuba. Što pre krenete u ispravljanje vaših zuba to ćete pre doći do željenog rezultata.
Za kratko vreme ćete primetiti razliku, a to će vam biti siguran pokazatelj da radite pravu stvar.








