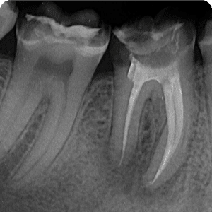
Endodontics
What is Endodontics?
You might not be familiar with this term, but you’ve certainly heard of nerve removal. The pulp or nerve of the tooth, which consists of blood vessels and nerves, forms the inner part of our teeth.

Endodontics deals with all diseases of the tooth nerve, which is why the synonym “nerve removal” is not entirely accurate. If we consider that the goal of endodontics is to preserve every tooth in the jaw, we can say that endodontics is focused on treating all diseases of the dental pulp.
WHAT ARE THE MOST COMMON CAUSES?
The most common causes of this condition are:
- Deep cavities,
- Trauma,
- Impact,
- Dental materials,
- Fillings without a base,
- Bruxism.

WHAT IS PULPITIS?
If a deep cavity is neglected, bacteria and toxins penetrate the tooth’s nerve chamber, leading to the first stage of inflammation, known as pulpitis.
The first symptom is tooth sensitivity to hot and cold, as well as sweet foods. Later, severe pain may occur. The pain is caused by swelling of the pulp, which is actually the body’s biological response to the presence of bacteria. Since the pulp is trapped within the walls of the tooth, it creates pressure and pain.
WHAT ARE THE CONSEQUENCES OF TOOTH NERVE INFLAMMATION?
If the cause of the inflammation is not removed and the infection is not treated, it can lead to necrosis and gangrene of the tooth, causing the nerve to completely die off. Other bacterial strains then inhabit the area.
- Darkened tooth,
- Bad breath,
- Pain when pressing on the tooth,
- General health disturbances – fever, chills.
Untreated gangrene spreads to the periapical area, the region around the tip of the tooth root in the bone. In most cases, the tooth becomes sensitive to tapping and touching near the root tip.
Very often, a small pimple may appear near the root tip, which is actually a fistula that drains pus. In some cases, swelling may also occur. However, even in these situations, it is often possible to successfully preserve the tooth without surgical intervention.




Periapical conditions can also arise when the root canals are not properly filled. In such cases, a root canal re-treatment is performed, which involves refilling the canals. Once correctly filled, these teeth quickly become asymptomatic and remain functional for a long time.


In some cases, when periapical infections are too advanced, treating the root canals alone is not enough to resolve the infection. In such cases, a surgical procedure called an apicoectomy is performed to remove the tip of the tooth root and clean the infection, with the goal of preserving the tooth in the jaw.
In very rare situations, if the tooth continues to have symptoms despite all forms of therapy, extraction may be necessary.
P.S.
If you experience tooth sensitivity or pain while eating or drinking, or if the pain starts to spread, react in time!